皇冠信用登2代理_【前沿进展】rOC43-CoV2 S:一种用于SARS-CoV-2中和试验的BSL-2代理病毒
新2足球网址(www.huangguan.hk)为您提供最新登1登2登3代理网址,包括新2登1登2登3代理手机网址,新2登1登2登3代理备用网址,皇冠登1登2登3代理最新网址,2024年5月24日,《sPNAS》杂志上发表了一篇题为“Recombinant OC43 SARS-CoV-2 spike replacement virus: An improved BSL-2 proxy virus for SARS-CoV-2 neutralization assays”的研究论文皇冠信用登2代理。本研究构建了一种重组的人OC43病毒(rOC43-CoV2 S),其天然的spike糖蛋白替换成SARS-CoV-2 spike。该病毒由于其在培养细胞和动物中的高度减毒而被指定为生物安全性2级。rOC43-CoV 2 S是一种改进的替代病毒,用于评估中和抗体,同时也是一种减毒活COVID粘膜候选疫苗,在小鼠和恒河猴中激发强烈的体液和粘膜抗体反应。

主要研究结果如下:
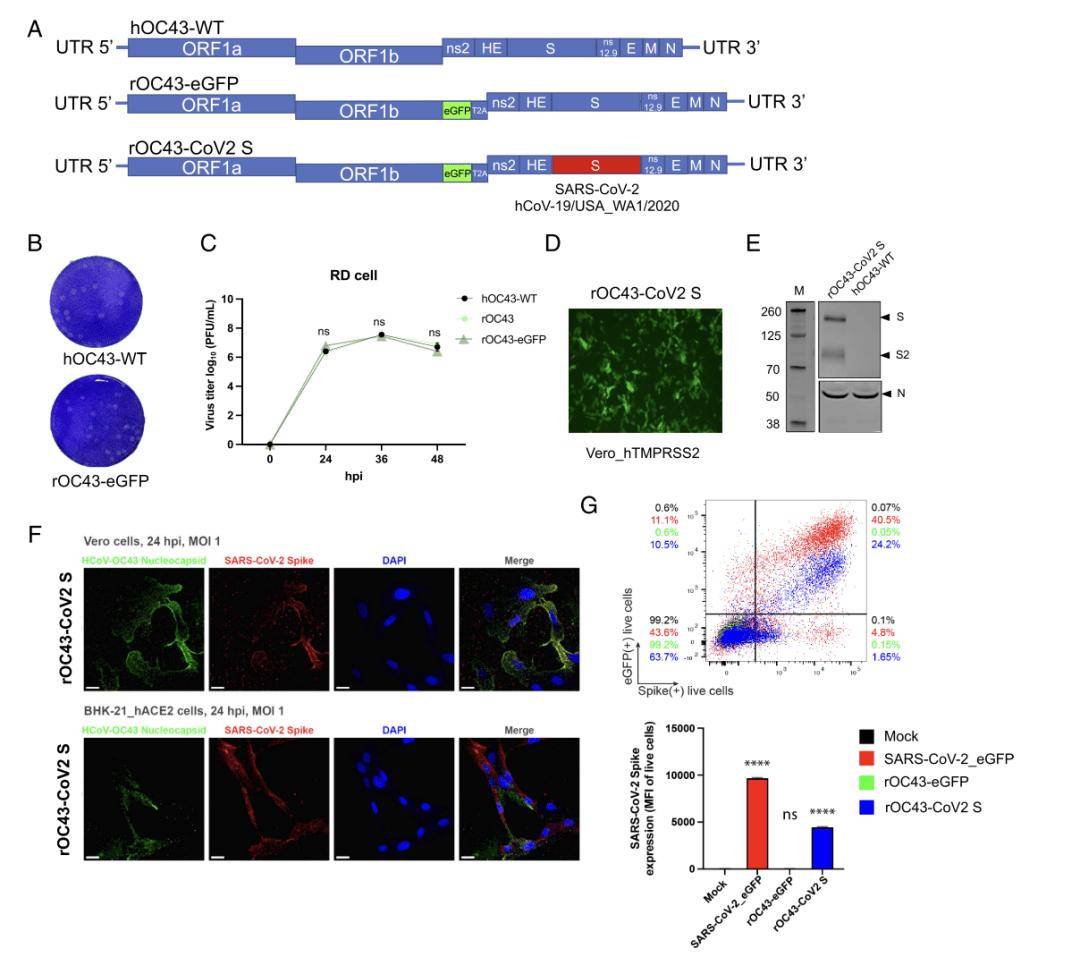
1、可复制重组OC43 病毒的生产
利用环状聚合酶延伸反应(CPER)技术,成功构建了一种重组OC43病毒(rOC43-eGFP),该病毒在ORF1b基因的3'端插入了增强型绿色荧光蛋白(eGFP)报告基因皇冠信用登2代理。再将SARS-CoV-2的Spike基因替换到rOC43-eGFP中,生成了rOC43-CoV2 S病毒。在细胞水平上展现出高度减毒。

展开全文
2、rOC43-CoV2 S对小鼠无致病性
在hACE2转基因小鼠模型中,rOC43-CoV2 S感染的小鼠与对照组小鼠在体重和存活率上没有显著差异,表明该病毒在小鼠中不引起明显的疾病症状皇冠信用登2代理。rOC43-CoV2 S感染的小鼠则未观察到明显的组织病理学变化。

3、rOC43-CoV2 S是一种有前景的减毒活疫苗载体
在小鼠体内皇冠信用登2代理,单剂量的rOC43-CoV2 S鼻内免疫能够诱导产生高滴度的抗SARS-CoV-2中和抗体,并能完全保护小鼠免受SARS-CoV-2的致命攻击

4、rOC43-CoV2 S在恒河猴中诱发强烈的抗SARS-CoV-2 的血清和黏膜抗体
恒河猴接种疫苗后,表现出高度减毒皇冠信用登2代理。并可产生S蛋白特异性的血清和黏膜IgA和IgG抗体反应,能有效中和SARS-CoV-2。


原文链接:
本期编辑:可爱晨
猜你喜欢
- 2025-11-05皇冠信用网会员 _山西首例!山西省人民医院成功实施脑机接口辅助功能区脑肿瘤切除手术
- 2025-11-04皇冠登3代理申请 _安徽知名酒企全体员工降薪10%?白酒企业陆续交出“最差三季报”,多家高管已降薪
- 2025-11-04皇冠信用网站 _河南一女孩发视频称父亲看自己洗澡?郑州荥阳警方已介入,妇联:视频不真实
- 2025-11-04皇冠信用網会员开户申请 _朝鲜最高人民会议常任委员会前委员长金永南逝世
- 2025-11-04皇冠体育App下载 _离大谱!多地办电话卡需工作证明、无犯罪证明、银行流水
- 2025-11-04皇冠体育App下载 _詹俊展望红军vs皇马:利物浦边路对抗全面下风 恐怕能打平就不错
- 2025-11-03皇冠信用代理流程 _瓜迪奥拉捡到宝!曼城最闪亮璞玉浮现,他让哈兰德笑开花
- 2025-11-03NBA美国职业篮球联赛 _曼城3-1伯恩茅斯:数据背后的战术分析与球员故事
- 2025-11-03皇冠信用网注册 _印度发射该国迄今最重卫星
- 2025-11-02皇冠足球平台在哪里注册 _宝贵三分!中超-海牛1-0胜三镇 送亚泰提前一轮降级
- 2025-11-02皇冠信用網出租 _英超-萨拉赫破门赫拉芬贝赫建功 利物浦2-0维拉止四连败
- 2025-11-02皇冠信用网代理注册 _米兰对阵罗马前瞻:托莫里归来能否扭转战局?希门尼斯、普利西奇与拉比奥特缺阵影响几何?



网友评论